Infected Mobile Teeth Replaced With Dental Implants
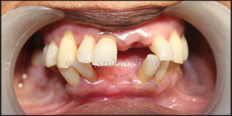
This is a case of a 28 year old woman with a complaint of shaking lower front teeth, which induces pain and discomfort on chewing food. She stated that lately the saliva from the involved site is starting to taste salty. She gives a dental history of root canal treatment done to the lower anteriors 2 years back. After which an apicoectomy of the teeth was done a year back elsewhere, due to long standing cystic lesion at the root end of the teeth.
Subsequently, one of her lower anterior tooth started shaking, which was then extracted and replaced with a dental implant 6 months back. Over the time there was an increase in the mobility of the adjacent teeth and the dental implant. Worried with her oral condition, she approached us seeking for a solution,that could restore her well-being.
EXAMINATION OF THE PATIENT
On intraoral examination, pus discharge from the lower anterior region was evident. The anterior teeth and the implant exhibited mobility. The surrounding gum tissues were red and swollen.
Full mouth X-ray (OPG) taken shows apicoectomy done to the root canal treated teeth in the lower anteriors. Infection around the implant and the teeth was evident.
Blood reports affirmed no underlying systemic abnormality.
TREATMENT PLAN
Dr. SM Balaji examined the patient. He suggested to extract the lower front mobile teeth and remove the infected dental implant under local anesthesia. Later, replacement of teeth with dental implants was intended. Other teeth replacement options were also explained to her. Patient opted to go for dental implants since it was considered as the best option. Patients consent was obtained before starting the procedure.
PROCEDURE
Under local anesthesia, Dr. SM Balaji extracted the mobile lower anterior teeth and removed the infected dental implant from the jaw bone. The recipient site was curetted and irrigated well with a sterile solution. Patient was put on antibiotics for a better healing process. A temporary removable prosthesis was given to replace her missing teeth.
DENTAL IMPLANT PLACEMENT
Patient returned after 6 months for implant placement. Her gums were well healed. There was no signs of pus discharge. X-ray taken affirmed no signs of pathological infection in the bone. Hence local anesthesia was administered. Renowned Implantologist, Dr.SM Balaji fixed the dental implants directly in the jaw bone, using the flapless technique.
She was asked to wait for a healing period of 3 to 4 months to let the dental implants completely integrate with the underlying jaw bone. This aids in better retention and stability of the dental implant in the future. Meanwhile, she was asked to continue to wear the temporary prosthesis to replace her missing teeth.
POST-OPERATIVE FOLLOW-UP
She approached us after 3 months for the final prosthesis. Intra oral examination confirmed no pathological findings. Post-operative OPG taken, shows well osseointegrated dental implants with no signs of infection. Hence the final measurements were taken to make the fixed prosthesis. Finally, a natural looking prosthesis was fixed onto the dental implants.
The prosthesis colour blended well with her natural teeth. She was extremely happy and satisfied with the outcome. Since then she and her family has been visiting our dental hospital for regular check-ups
































