Looking for affordable and yet the best services in dentistry? At Balaji Dental & Craniofacial Hospital, we provide unrivaled dental expertise combined with elegant, modern technology, individualized attention and exceptional care!
Dr. SM Balaji’s mission is to provide our patients the very best dental care in the most caring, supportive, and nurturing manner possible. We also believe in promoting long-term dental-health through the most superior treatment available. To that end, we employ highly-qualified multidisciplinary dental professionals and utilize innovative technologies. Our focus on esthetic and cosmetic techniques further supports this commitment to provide the best overall long-term dental care, and to enable our patients to look and feel their best.
The entire dental staff is dedicated not only to restoring patient’s teeth and gums to health, but focuses on preventive care and patient education.
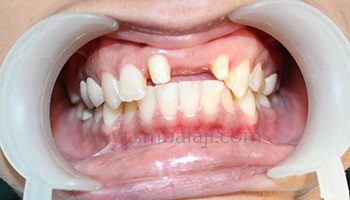
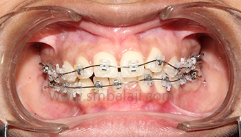
Full mouth rehabilitation, Orthodontics, Pediatric dentistry, Periodontics and Ageing dentition specialty are some of the treatments available in our hospital for adults and kids. Our pain-free dentistry clinics use Laser. Our Cosmetic Dentistry specialists excel at creating bright dazzling smiles & dramatically enhancing your appearance!










